
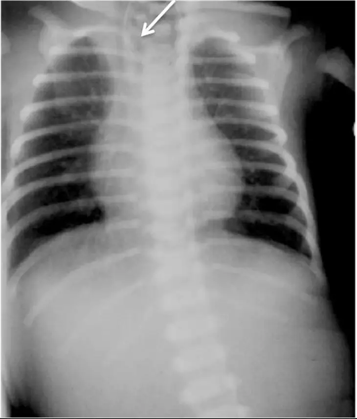
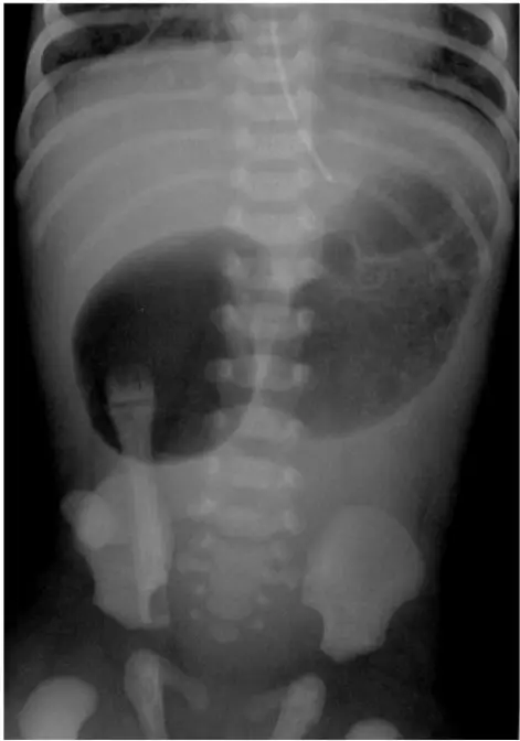
Esophageal Atresia X-ray: Radiographic Signs:
Esophageal Atresia X-ray: Other Cases: Radiological cases of Surgery It is a congenital condition that can be identified through radiographic findings. Key indicators include: What is Esophageal Atresia? It is a birth defect where a baby’s esophagus (food pipe) doesn’t connect properly to the stomach. Instead, it ends in a pouch, making swallowing impossible. This condition occurs […]



