
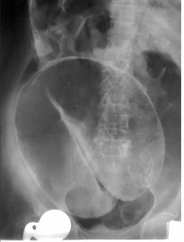
Coffee Bean Sign X-ray: Identifying Sigmoid Volvulus
Sigmoid volvulus is a serious condition causing large bowel obstruction. It occurs when the sigmoid colon twists on its supporting mesentery. A key diagnostic feature seen on X-ray is the ‘coffee bean sign,’ representing the distended, twisted loop of the colo For more cases: visit radiopedia.org
Coffee Bean Sign X-ray: Identifying Sigmoid Volvulus Read Post »
